Posterior Compartment Arthroscopy Made Easy
Lee Hunter MD, MBA (Hunter Medical Founder and Chief Medical Officer)
February 2020
Posterior compartment elbow arthroscopy poses its’ own unique challenges. Many of these can be overcome by opting for supine patient positioning.
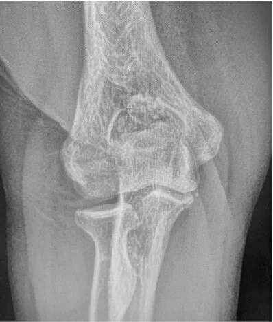
70 YOF with Posterior Compartment Loose Bodies
The patient presented complaining of chronic posterior right elbow pain for years with a sense of intermittent locking of her joint. Her symptoms have gradually worsened and have become functionally significant. She denied any traumatic event and has no known history of inflammatory arthritis. Her physical exam was notable for a 10-degree elbow flexion contracture with a mild effusion and mild deep midline posterior elbow tenderness. Her orthopaedic exam was otherwise unremarkable. Preoperative plain films and MRI are shown below.
The Procedure
The patient was positioned supine utilizing the ElbowLOC® Arm Positioning System. The anterior compartment arthroscopic exam was unremarkable. The ElbowLOC was then adjusted to place the elbow in slight extension, which improves posterior compartment visualization. Posterior midline and posterolateral arthroscopic portals were created. Synovium was debrided as needed for visualization, the loose bodies removed, and a limited boney debridement performed. Portal incisions were closed and a light dressing applied. Operative photos are below.
The ElbowLOC® Supine Positioner simplifies posterior compartment arthroscopy by allowing the surgeon to easily and quickly stabilize the elbow in the desired degree of extension. There is no surgical field drift, and I have found the posterior capsule stays more readily distended with the humerus upright compared to lateral or prone positioning.
This case is another great example of how the ElbowLOC® simplifies and accelerates procedural times for many elbow surgeries and makes surgery easier for the surgeon, patient, and staff!
 
          
        
       
  
  
    
    
     
  
  
    
    
     
  
  
    
    
     
  
  
    
    
     
            